Es el aparato que se encarga de producir madurar y trasportar los gametos masculinos que se unirán con los gametos femeninos para realizar la reproducción
Órganos que lo conforman
- Testículos
- Epidídimo
- Conductos deferentes
- Vesícula seminal
- Próstata
- Uretra
Testículos
Son un par de órganos con forma ovalada y que mide 5 cm de longitud por 3 cm de ancho y 2.5 de espesor, su peso ronda entre 10 a 15 gramos. Se encuentran recubiertos por una bolsa escrotal o también llamada escroto. Dentro de estos es donde se producen los gametos masculinos también llamados espermatozoides.
Dentro del escroto el testículo cuenta con dos capas en la periferia que conforman a la capsula testicular, estas capas son:
Túnica vaginal: Es la capa mas externa siendo una membrana serosa, esta capa existe gracias al peritoneo
Túnica albugínea: Es la capa que se encuentra debajo de la túnica vaginal y esta hecha de tejido conjuntivo fibroso
Debajo de estas dos túnicas se encuentran los septos y los lóbulos
Los septos son las responsables de dividir al testículos en lóbulos, todos se unen en la parte posterior del testículo denominado mediastino testicular
Por otro lado los lóbulos es la capa que contiene a los túbulos seminíferos (de 1 a 4)
Túbulos seminíferos
Mide hasta 80 cm de longitud y 0.2 mm de grosor, en una región se convierten en túbulos o tubos rectos, estos tubos rectos se juntan y forman una red llamada rete testis, es a partir de esta red que se forman de 15 a 20 pequeños tubos a los que se les conoce como conductos eferentes, estos se encargarán de unir al testículo con el epidídimo.
Estos túbulos esta constituido en la periferia por tejido conjuntivo laxo acompañado por una lamina de células planas, (fibras musculares lisas y fibroblastos), a estas células planas en este órgano se les conoce como mioides.
Dentro de estos túbulos se lleva a cabo la espermatogénesis por lo que debajo de los mioides se pueden encontrar las diferentes fases de dicho proceso como lo son las espermatogonias, los espermatocitos primarios, espermatocitos secundarios y las espermátidas
Células de Leydig
También llamadas células intersticiales son las células que se encargan de la parte endocrina del órgano, estas se encuentran alrededor de los túbulos seminíferos para producir testosterona.
Su forma es poliédrica, de 15 µm y su núcleo es redondo
Células de Sertoli
También llamadas células nodriza o sustentaculares, son aquellas que participan en el proceso de espermatogénesis mantener la barrera sangre testículo, da paso a la división celular y por tanto a la espermatogénesis, secreta inhibina (encargada de regular la testosterona y también secreta proteína secretora de andrógenos (ABP).
Espermatogénesis
Espermatogonia: A partir de una célula madre se formaran espermatogonias que se les dice son de tipo A y estas por medio de mitosis darán lugar a espermatogonias de tipo A y B. Las tipo A seguirán dividiéndose formando células A y B continuamente; mientras que las B serán las que den lugar a los espermatocitos primarios.
Espermatocito: Los espermatocitos primarios realizaran la meiosis I lo que contribuirá a la creación de dos espermatocitos secundarios, luego los espermatocitos secundarios realizarán la segunda parte de la meiosis (Meiosis II) para que por cada espermatocito primario crear 4 espermatides.
Espermatide: Se caracterizan por tener un pequeño flagelo el cual irá creciendo y el resto del cuerpo empezara a reducir su tamaño la cabeza se forma y el citoplasma se reduce y el núcleo se alarga.
Espermatozoide: Es la célula madura que presenta una estructura que se conforma por una cabeza, un cuerpo y un flagelo.
Proceso endocrino testicular
Primero el hipotálamo libera hormona liberadora de gonadotropina (GnRH) que estimulara a la hipófisis para que produzca a la hormona folículo estimulante (FSH) y la luteinizante (LH); la FSH se encargará de regular la espermatogénesis mientras que la LH actuara sobre las células de Leydig para que esta puedan producir la testosterona.
Epidídimo
Es un conducto enrollado que se forma a su vez por conductos eferentes (los cuales dan lugar a la red testicular) que formarán un puente entre el testículo y el epidídimo. Aunque tiene la apariencia de medir de 5 a 6 cm en realidad tiene una longitud de hasta 6 metros estirado
Anatómicamente tiene 3 regiones
Cabeza: parte mas cercana a los conductos
Cuerpo: parte media
Cola: parte
Su histología esta constituida por un epitelio cilíndrico simple con estereocilios (que ayudan a mover a los espermatozoides), una lamina propia o tejido conjuntivo laxo, una lamina de tejido muscular liso y otra capa de tejido conjuntivo laxo (estas tres últimas capas son células mioides).
Los espermatozoides se alojan en el órgano por dos semanas para que puedan madurar, sin embargo cuando salen no presentan movilidad, para ello necesitan llegar a la vesícula seminal para mezclarse con la secreción de dicha glándula para poder ser aptos para la fecundación.
Conductos deferentes
En un conducto de entre 40 a 45 cm de longitud que asciende desde el escroto hasta llegar a la vesícula seminal y la próstata para comunicar los 3 órganos; sin embargo antes de alcanzar las vesículas, aumenta su luz del conducto eferente.
También presenta un epitelio cilíndrico pseudoestratificado ciliado que se acompaña de tejido conjuntivo laxo asi como de una capa gruesa de fibras musculares lisas que se encargan de conferir impulso a los espermatozoides al contraerse.
Vesículas seminales
Son glándulas de adenómero tubular de 15 cm de longitud. La glándula cuenta con ramas laterales que se unen para formar las cavidades o adenómeros alveolares con los que secreta un liquido amarillo llamado liquido seminal (Hecho de fructosa, prostaglandinas y fibrinógeno), el cual, conforma el 60 % del volumen del semen
Histológicamente las glándulas se componen de un epitelio cilíndrico bajo a un epitelio cilíndrico pseudoestratificado, el cual se apoya de tejido conjuntivo y de abundantes fibras musculares lisas
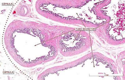
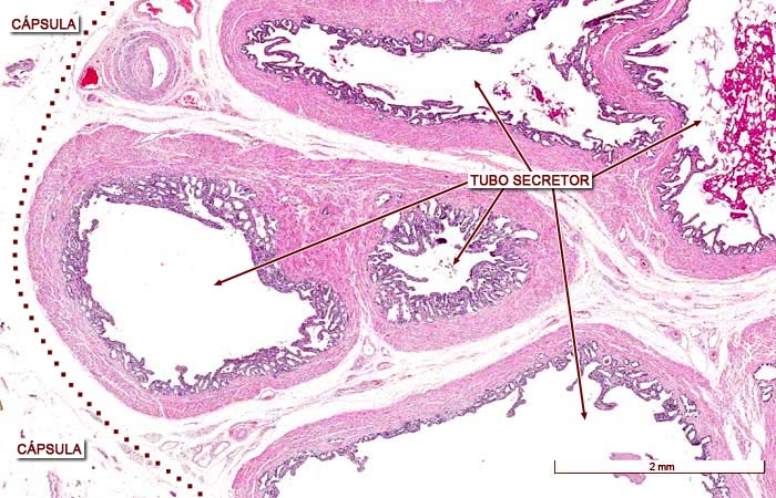
Próstata
Es una glándula alveolar compuesta, la cual es anexa al aparato reproductor y es la mas grande de este, midiendo 4 cm de ancho por 3 cm de largo y con un peso de 20 gramos. Se encuentra rodeando a la uretra en la región en que se une con la vejiga. Se estima que cuenta con entre 40 a 50 adenómeros que se apoyan de una gran cubierta de tejido muscular liso.
La función que realiza es secretar líquido prostático, el cual, proporciona nutrientes que garantizan la supervivencia de los espermatozoides y puedan ser estos capaces de fecundar, ademas esta sustancia representa el 20 a 30% de la formación de semen. Este liquido contiene semiplasmina, un antibacterial que previene de infecciones al tracto urinario.
Como dato curioso la glándula crece después de los 40
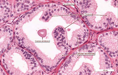
Sus adenomeros túbulos alveolares son de gran luz formada por células dispuestas en un epitelio cilíndrico simple a pseudoestratificado según la actividad de la glándula (entre más actividad sexual más pseudoestratificado), junto con tejido conjuntivo laxo y fibras musculares lisas (para contracción y ayudar a la expulsión de espermatozoides). El epitelio puede formar pliegues que invaden la luz llamadas lengüetas prostáticas.
También presenta estructuras redondas llamadas cuerpos amiláceos o concreciones calcarias que presentan afinidad por la eosina. Estas funcionan como un indicador de la actividad de la glándula, entre más haya mayor actividad tendrá la glándula.
![]() |
| Los pliegues son lengüetas prostáticas |
Glándulas bulbouretrales
También llamadas glándulas de Cowper por su descubridor, son un par de glándulas situadas en la base del pene, la cuales secretan una sustancia de pH alcalino que contribuye a la neutralización de la orina, proporcionando una lubricación en el glande, formando un ambiente apto para el paso de espermatozoides. Los conductos (que se abren a la uretra peneana) llegan a medir 10 cm de diámetro.
Pene
Es un órgano cilíndrico por dónde pasa la parte final de la uretra, este organo tiene una longitud de entre 13 a 15 cm y al tener dentro de este a la uretra es el que conduce la orina y el semen hacia el exterior.
Formado por 3 regiones
Raíz: unión a cavidad pélvica
Cuerpo: cilíndrica
Glande: Parte donde se encuentra la cabeza del pene
Esta cubierto por piel la cual recibe el nombre de prepucio, el cual en la zona del glande se forma como un pliegue; el prepucio cuenta con glándulas sebáceas y folículos pilosos.
Este órgano ademas de esta cubierto por piel, también contiene dentro de el, cuerpos cavernosos con abundantes vasos sanguíneos, asi como también un cuerpo esponjoso que donde está la uretra.
Semen
Es una sustancia que se da en la eyaculación, en la cual salen de 3 a 5 ml, cantidad en la cual hay entre 20 a100 millones de espermatozoides
Esta sustancia es una mezcla de secreciones de las vesículas seminales y la próstata (líquido prostático) así como de las glándulas de Cowper.
Esta sustancia tiene también enzimas proteasas, enzimas prostáticas que convierten el fibrinógeno en fibrina y fibrinolisina que contribuyen a la degradación del coágulo del semen















