Es un aparato en el que la célula principal es el linfocito, los cuales pueden ser de tipo B, T y NK (células asesinas que matan células que crecen). Los linfocitos son redondos con un gran núcleo basófilo cromatina compacta y con citoplasma escaso basófilo
Formado por órganos linfoides llamados asi porque esta hecho de linfocitos , tiene una red de vasos linfáticos y linfa la cual es una sustancia que va por la red de vasos y lleva hormonas y sobre todo linfocitos
Función
Se encarga de la producción, mantenimiento y distribución de los linfocitos. Dicha producción la lleva a cabo en la medula ósea del tejido esponjoso del hueso. También se encarga del retorno de fluidos y solutos (linfa) de los tejidos al torrente sanguíneo, asi como también distribuye hormonas nutrientes y productos de desecho de los tejidos a la circulación
Clasificación
Por función: Primarios y secundarios
- Primarios: Distribuyen producen maduran linfocitos. Médula ósea y timo
- Secundarios: Sitio donde se produce una respuesta inmune ante presencia de antígenos. Bazo, placas de Peyer, ganglios linfáticos, amígdalas, nódulo linfoide asociado a las mucosas
Por presencia o ausencia de capsula (tejido conjuntivo: fibras colágenas, fibroblastos)
- Capsulados Timo bazo, ganglios linfáticos, bazo y timo
- No capsulados: Amígdalas placas de Peyer y nódulos linfoides
Estructura
Esta conformado por un estroma el cual se encarga de sostener al parénquima
Estroma: Constituido por fibras reticulares o por células retículo epiteliales, estas ultimas son células provenientes del epitelio que tienen proyecciones citoplasmáticas que ayudan a sostener a los linfocitos.
Parénquima: Sitios donde se produce la respuesta inmune generada ante un antígeno. Linfocitos del tipo linfoide difuso (linfocitos T), tejido linfoide nodular asi como macrófagos, células plasmáticas cebadas, plaquetas y leucocitos
El parénquima se compone de dos tipos de tejidos el tejido linfoide difuso y el nodular, los cuales servirán para contrarrestar a microorganismos
El tejido linfoide difuso son linfocitos T esparcidos y que no trabajan en equipo. Por otro lado el tejido linfoide nodular, el cual se presenta como esfera, está formado de muchos linfocitos B agrupados (si trabajan en equipo) lo que los hacen ser mas eficientes ante antígenos.
Vasos linfáticos
Son pequeños vasos de paredes delgadas que se ramifican para formar redes por los órganos y tejidos.
Se encuentran por todo el cuerpo en los espacios intercelulares, e incluso están en contacto con los ganglios linfáticos; su función radica en recoger por difusión el liquido tisular que puede contener desechos y células del sistema inmunitario para ser vertidas en la sangre a través de la vena cava superior y la vena subclavia izquierda. Sus vasos mas importantes destacan la gran vena linfática, el conducto torácico y la cisterna del quilo o de Pecquet, estas conectan con los vasos linfáticos anteriormente dichos.
Su pared esta constituida por endotelio (Tejido epitelial plano simple) y subendotelio (Tejido conjuntivo laxo). También tiene válvulas (las cuales son prolongaciones del endotelio) que impiden que la linfa regrese.
Linfa
Es un liquido parecido al plasma pero con la diferencia de que tiene una concentración menor de proteínas, se forma a partir del tejido intersticial y viajan por los vasos linfáticos para regresar al aparato cardiovascular.
A través de este líquido viajan en un 99% linfocitos y un 1% macrófagos. Su circulación es gracias a fibras musculares que tienen con los vasos sanguíneos.
Medula osea
Produce cualquiera de los 3 tipos de linfocitos, produce genera y distribuye, aunque el timo termina de madura a los linfocitos T.
Como dato adicional los linfocitos B se diferencia a célula llamadas células plasmáticas
Ganglios linfáticos
Son un órgano linfoide secundario encargado de filtrar y purificar la linfa. Son de tamaño pequeño midiendo de 1 a 22 mm de diámetro, son ovalados y de forma arriñonada, presentan dos caras (una convexa mayor y una cóncava menor). En su cara convexa tiene vasos linfáticos aferentes cóncava tiene una abertura la cual recibe el nombre de hileo que es por donde salen vasos sanguíneos y un vaso linfático eferente.
A través de los vasos aferentes pasan las linfas con antígenos y organismos, es entonces que el parénquima del ganglio purifica la linfa y neutraliza y destruye los antígenos, mientras que la linfa, sale limpia por el vaso linfático eferente.
Los ganglios están en todo el cuerpo, concentrándose con mas abundancia en el cuello, axilas, región inguinal y hueco poplíteo y están conectados entre si por los vasos linfáticos.
Histología
Esta conformado por una capsula que protege al órgano hecho de tejido conjuntivo en donde están fibras colágenas y fibroblastos. La capsula penetra en el parénquima del órgano para formar estructuras llamadas trabéculas que pueden en ocasiones atravesar todo el parénquima.
Tienen una corteza de porción externa compuesto de tejido linfoide nodular y tejido linfoide difuso; las zonas de un color morado intenso en conjunto son el tejido linfoide nodular, llamado nódulo linfoide, mientras que la parte que se ve entre morado claro y blanco es del tipo difuso. La corteza cuenta en su interior con nódulos o folículos linfoides, esto se conforman por dos zonas, una, ubicada en la periferia y de un tono oscuro llamada zona manto, la cual son linfocitos B que no han tenido contacto con antígeno, mientras la zona de posición interna y mas clara es el centro germinativo.
También tiene una médula de porción interna compuesto de tejido linfoide difuso que al ser linfocitos T agrupados reciben el nombre de cordones medulares, los cuales se miran como manchas blancas.
La linfa se purifica en la corteza, sin embargo si esta no termina de purificarse, entonces se pasa a la medula en donde los linfocitos T destruyen los agentes contaminantes y solo entonces pasa al vaso eferente como una linfa limpia.
Bazo
Es el órgano linfoide mas grande con 12 cm de longitud. Se ubica en la cavidad abdominal en la parte posterior del estomago. Tiene la caracteriza de ser de un color rojo vino
Se le conoce como el cementerio de eritrocitos ya que es aquí donde después de 120 días los eritrocitos son fagocitados, también remueve otros elementos sanguíneos, almacena hierro (que obtiene de la descomposición de eritrocitos) y puede iniciar una respuesta inmune por medio de linfocitos B y T en respuesta a antígenos circulantes
Histología
El bazo se compone histológicamente por una capsula (constituida por tejido conjuntivo y fibras musculares lisas), esta capsula es mas gruesa que la de los ganglio linfáticos, ademas de que dicha capsula se introduce en el parénquima del órgano formando asi trabéculas.
Su parénquima la cual se le llama pulpa esplénica se compone de una pulpa roja y una pulpa blanca. La pulpa roja se caracteriza por tener eritrocitos, leucocitos ( linfocitos, eosinófilos, neutrófilos, basófilos), células plasmáticas, macrófagos y plaquetas, y asi forman a los cordones de Bill Roth. Por otro lado la pulpa blanca es compuesta de corpúsculos de Malpighi, unos nódulos linfoides que en su interior tienen arteriolas.
El bazo también tiene estromas como soporte del parénquima, el estroma esta hecho de fibras reticulares
![]() |
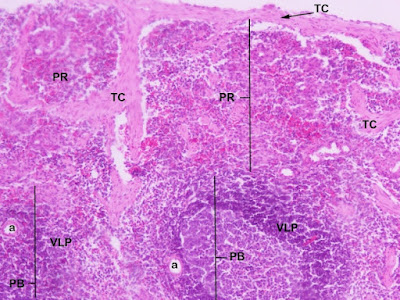
| Al teñir con H-E la pulpa roja adopta un color rosa mientras que la pulpa blanca uno morado y en el centro se observa un circulo rosa que en realidad es la arteria |
![]() |
| PR= Pulpa roja. PB= Pulpa Blanca. a= arteriola. TC= Capsula y trabéculas |
![]() |
| El timo se divide en dos lóbulos y estos a su vez en lobulillos |
- Amígdalas tubáricas: Ubicadas en la pared posterior de la faringe. Tienen un epitelio respiratorio
- Amígdalas palatinas: Se encuentran en la parte posterior a la cavidad oral en el límite con esta y la faringe, esta tiene un epitelio plano estratificado mucoso
- Amígdala Lingual: Están ubicadas en la parte inferior a la base de la lengua, aunque no son visibles. Tiene plano estratificado mucoso
![]() |
| Aquellas zonas que se ven como esferas son nódulos es decir tejido linfoide nodular mientras que el resto es tejido linfoide difuso |













